September 12, 2018The difference between fertility and infertility
Fertility refers to the natural ability of a man or woman to produce an offspring. Infertility occurs when there are biological factors affecting this ability. …
Read more
November 27, 2017Shipping your Frozen Specimens
How to Get Started We are working hard to transfer your frozen specimens! If you have frozen specimens at the Regional Fertility clinic at the Lois Hole …
Read more
November 20, 2017Globe & Mail: Why the Journey of Infertility is so infuriating
For some people, the journey to fertility can be a long one…and an infuriating one, as this author describes. We’ve re-posted an article from the Globe & …
Read more
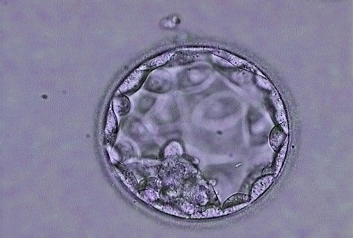
May 16, 2016From Oocyte to Embryo: Behind the Scenes in the Fertility Lab
With Jason Au - Embryologist, B.Sc., M.Sc. With increasing awareness of how many Canadians are affected by infertility, more and more people are researching …
Read more
Categories
About the PCRM Blog
Welcome to the Pacific Fertility Centre for Reproductive Medicine Blog! Nationally and internationally recognized for providing exceptional reproductive care, our team believes in empowering people with the knowledge they need to navigate their unique fertility journeys.
From information on the latest fertility treatments to valuable insights on egg donation, surrogacy, and everything in between, the Pacific Centre for Reproductive Medicine Blog is your ultimate resource for all things reproductive care and support. Read on to learn more, and contact us today if you have any questions or want to schedule a new patient appointment.



